


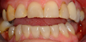
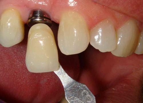
Dr. Brian Klym has provided comprehensive dental care to patients in the Traverse City, Michigan area for many years. The recent completion of a yearlong implant treatment fellowship and training program signifies his commitment to overall health, lifelike function and lasting results. Implant dentistry preserves tooth structure, promotes jaw strength and improves appearance.
After all the years of dentistry, I was very happy with how the sedation helped everything (implants, veneers...) to breeze right by.